盯着电脑写方案、在办公室忙来忙去,一天都没喝一口水……这种废寝忘食的状态在神经内科专家看来 并不健康,很可能因为血液黏稠度过高,再加上工作压力大、精神紧张,最终形成静脉血栓都出现脑梗。
2023年10月29日是第18个“世界卒中日”,今年的主题是“卒中识别早,救治效果好”。脑梗或脑出血的急救均存在时间窗,病人送医太晚了,医生也无力回天,很多时候错过了时间窗,患者就会遗留后遗症,甚至死亡。
脑梗来势汹汹,及时抢救保护大脑
说起中风,很多人对此并不陌生,中风者往往会出现突然偏瘫动不了、口嘴歪斜、意识丧失等症状,若不及时就医,生命将受到严重威胁。
10月3日,唐叔陪着妻子在省二医住院治疗腰椎疾患,如往常一样,他吃完晚饭就躺在床上看电视,突然感觉自己右边手脚不能动弹,口角歪斜,说不出话来。脊柱骨科的医生发现后立即启动院内卒中绿道,呼叫神经内科住院总,完善检查后发现唐叔左侧颈内动脉闭塞,左侧大脑半球大面积脑梗死。
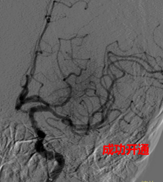
在取得家属的知情同意后,神经医学中心何旭英主任介入团队立即对唐叔予以静脉溶栓、导管室机械取栓等系列抢救治疗。幸运的是,因为发现及时、抢救到位,唐叔被堵塞的脑血管迅速得以开通,脑组织的血流得以恢复。

脑血管造影,显示介入手术开通后血流恢复
术后返回病房,唐叔恢复意识,右手右脚能抬起来了,也可以说话了。当天半夜唐叔的儿子从梅州赶过来,看到父亲转危为安,心里的石头落下了地,“真是很幸运,在医院里得到了及时抢救。真的很难想象在家的话,会发生什么后果。”
何旭英主任介绍,一般来说,脑卒中来得比较突然,有的人意识不到,就会错过救治时间窗。据统计,我国70%以上的脑卒中是脑梗死,其最有效的治疗方式是静脉溶栓和取栓手术治疗。溶栓对时间要求极为苛刻,必须在发病4.5小时至6小时内接受治疗才能极大提高成功率,即便是取栓也只有16小时至24小时的窗口期。

图:视觉中国
脑梗出现年轻化趋势,避免肥胖充分补水
肥胖是发生脑梗或脑出血的一个很常见的诱因。临床上发现,很多中年男性,大腹便便,工作压力大,加上又没有时间去做运动,饮食上多为高脂高蛋白等,导致血脂增高,高脂血症不仅危害心脑血管,包括全身各个系统的血管都会有危害。
近些年来,年轻人的脑梗的发病率也明显增加,比如青少年静脉血栓形成。有些患者就是因为长时间熬夜上网打游戏。一玩就是一通宵。我们见过一些大学生把自己关在房里,不喝水不吃饭,等到父母敲门不应,开门时才发现倒地了。什么原因?长期缺水之后,静脉形成血栓,而脱落的血栓塞住了大脑血管。
何旭英主任提醒,高强度的工作,一定要注意补水。有的人忙起来就一整天都不喝一口水,这样血液容易变成高凝状态。所以,喝水让血液处于正常状态,预防血栓以及脑梗发生。
“以前我们表扬人说废寝忘食,现在我们要鼓励三餐定时,注意劳逸结合。还有一部分人经常不明原因头痛,我们发现这也与静脉系统有关,可能是血液黏稠度高,侵犯了大脑某个位置。”何旭英主任说。

图:视觉中国
情绪激动也会导致脑出血
今年56岁的周叔与家人吵架,情绪激动,突感头晕、头痛,恶心,立即前来省二医急诊就诊,急诊测血压收缩压已高达200mmHg,头颅CTA发现右侧颈动脉末端动脉瘤并蛛网膜下腔出血,周叔立即被收治入脑血管病中心,予以控制血压、血管痉挛对症治疗。
据悉,省二医神经医学中心何旭英主任带领的介入团队争分夺秒,当晚立即为周叔行颅内动脉瘤支架辅助弹簧圈栓塞术,消灭了这个隐形的“夺命炸弹”,将他从死亡关拉了回来。
何旭英主任指出,脑动脉瘤第一次破裂出血将引起半数病人死亡或重度残废,第二次破裂出血会使死亡和重度残废率翻番加倍,若第三次破裂出血几乎没有健康生存或成活者,因此为避免再次破裂出血危及生命。
周叔为什么会爆血管呢?仔细询问病史,原来早在七年前周叔就被诊断有高血压,虽有服用降压药,但他并没有每天规律监测自己的血压情况,如果能早点做好血压监测,定期筛查动脉瘤,早防早治,兴许就不会有这命悬一线的经历。

如何预防脑卒中发生或复发
1. 定期进行卒中危险因素的自我筛查,包括高血压、高血糖、高血脂、吸烟、饮酒、超重与肥胖、不健康生活习惯和其他可能导致卒中的疾病等。
2. 控制好血压。35岁以上应每年至少测量血压1次,高血压患者应每月至少测量1次,同时还需进行药物治疗。
3. 控制好血糖。无糖尿病危险因素的人群建议在年龄≥40岁时开始筛查,有卒中危险因素的人群应定期检测血糖。
4. 控制好血脂。血脂升高一般没有症状和异常体征,必须通过血脂检查才能及时发现,20岁以上的成年人至少每5年测量1次空腹血脂,40岁以上男性和绝经期后女性应每年进行血脂检查,对于缺血性心血管病及缺血性卒中的高危人群,每3-6个月就要测定1 次血脂。
5. 戒烟。吸烟有百害而无一利,所有人都应该主动拒绝吸烟,并避免二手烟危害。
6. 控制体重。超重和肥胖者可通过健康的生活方式、良好的饮食习惯、增加体力活动等措施减轻体重,有利于控制血压、减少卒中风险。
7. 健康饮食。每天饮食种类应多样化,使能量和营养的摄入趋于合理,每日食盐不超过5 g,少油饮食,控制胆固醇、碳水化合物摄入,避免饮酒。
8. 科学运动。健康成年人每周参加3-4次有氧运动,每次持续40分钟以上,如快走、慢跑、骑自行车等,中老年人可根据自身情况参加有益身心的健身运动。
9. 积极治疗有关疾病,如:心肌梗死、心房颤动、外周动脉疾病等。以上疾病人群的卒中发病风险明显高于常人,应定期体检复查,接受专科医生治疗,遵医嘱药物治疗。
脑卒中可防可治,要提升以预防为主的健康意识,积极参与、配合当地医疗机构、基层医疗卫生单位开展的脑卒中高危人群筛查、干预等活动。如有出现相应症状,一定要马上就医。
文| 记者 张华 通讯员 周颖怡 王舒慧 许晓洁图| 受访者提供
来源 | 羊城晚报·羊城派责编 | 薛仁政校对 | 桂晴
实习编辑 | 陈天雨
声明: 我们致力于保护作者版权,注重分享,被刊用文章因无法核实真实出处,未能及时与作者取得联系,或有版权异议的,请联系管理员,我们会立即处理,本站部分文字与图片资源来自于网络,转载是出于传递更多信息之目的,若有来源标注错误或侵犯了您的合法权益,请立即通知我们(管理员邮箱:daokedao3713@qq.com),情况属实,我们会第一时间予以删除,并同时向您表示歉意,谢谢!
999+
13
1843
1922
1576
1961
1481
833
689
1540 本站内容仅供参考,不作为诊断及医疗依据,如有医疗需求,请务必前往正规医院就诊
祝由网所有文章及资料均为作者提供或网友推荐收集整理而来,仅供爱好者学习和研究使用,版权归原作者所有。
如本站内容有侵犯您的合法权益,请和我们取得联系,我们将立即改正或删除。
Copyright © 2022-2023 祝由师网 版权所有
邮箱:daokedao3713@qq.com