极目新闻记者 赵雪纯
通讯员 张晓美 丁燕飞
年轻女子咳嗽、发热数周难治愈,检查时意外发现肺上竟长出“蜂窝”,最终被确诊为一种先天性畸形疾病。好在医生成功手术,阻止了病情进一步恶化,女子痊愈。1月23日,女子特地通过电话给医生报平安,表示自己身体一切正常,能重新投入工作了。
今年31岁的刘女士(化名)在美国居住,去年11月她回国探亲,期间开始出现咳嗽、咳痰、发热症状,运动后气喘,在反复服用了半个月感冒药、消炎药后仍不见好转,炎症始终未消失。于是,刘女士前往家附近医院就诊,检查后发现,她的肺部竟然跟“蜂窝”一样,医生建议她赶紧去大医院看看。刘女士匆忙赶赴武汉大学中南医院胸外科求助。

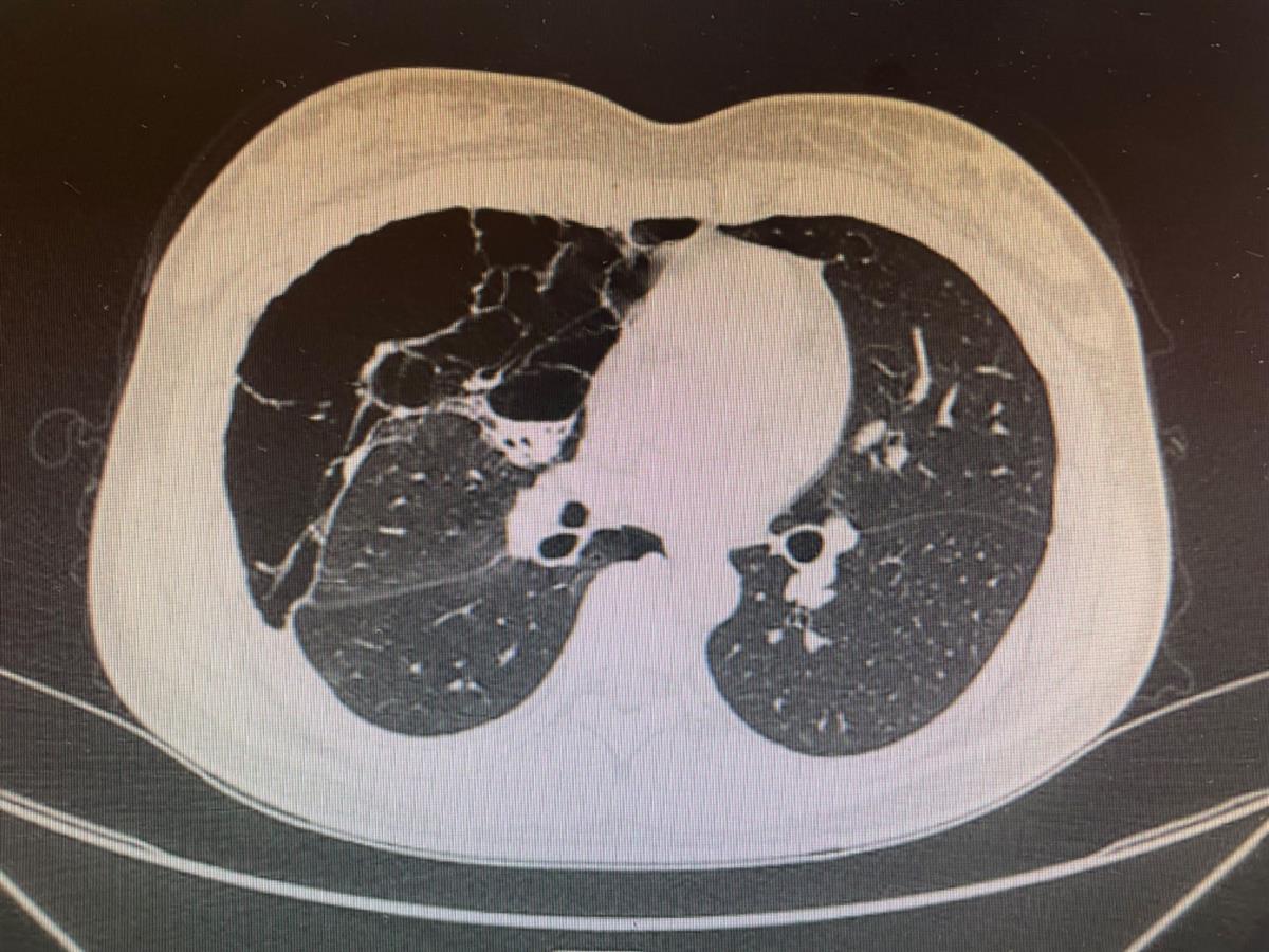
刘女士肺部影像图
胸外科主任医师胡学宁接诊后,通过查看患者影像资料,发现她的肺部有“蜂窝状囊性病变”——右肺囊性大泡几乎占据右侧整个胸腔,且大泡内有积液和积气,隐约可见肺组织被压缩成条索状,这便导致了患者肺不张、呼吸困难。再结合刘女士很年轻,且反复感冒发烧,抗感染治疗长达半个多月仍未得到有效控制,胡学宁怀疑是先天性肺发育畸形,而这种疾病目前尚无明确病因,建议尽早手术治疗,阻止病变发展。刘女士听后十分惊讶,想不到看似简单的“感冒”,牵扯出先天性的畸形,还有癌变的可能。她担心失去右半边肺,在和医生反复沟通后,医生表示尽量把手术损伤降到最低,极力保肺,这给了刘女士很大的信心,她决定积极配合治疗。
经周密的术前准备,胡学宁和王现国博士等为患者进行了胸腔镜下大泡切除手术。医生术中发现巨大囊肿似气球,起源于右肺上叶,囊内可见淡黄色粘液,而中下肺叶被完全挤压萎陷在心脏旁边。医生谨慎操作,以最大限度地保留患者健康肺组织,让手术损伤降到最低,幸运的是,切除巨大囊肿后,中下肺叶完全复张,肺恢复正常功能。术后,病理报告结果显示是先天性囊性腺瘤样畸形。
术后,刘女士开心地表示,胸闷气喘都消失不见了。在医护团队的精心照料下,李女士术后不到1周就顺利出院,术后复查结果也良好。
胡学宁介绍,先天性肺腺瘤样畸形是一种在胚胎时期形成的肺部病变,可能导致反复感染、呼吸不畅等症状。他提醒,如出现反复咳嗽、咳痰、呼吸困难、发绀、胸痛等症状,应尽快就医,而对于先天性囊性腺瘤样畸形,主要的治疗方法是通过手术进行治疗。
声明: 我们致力于保护作者版权,注重分享,被刊用文章因无法核实真实出处,未能及时与作者取得联系,或有版权异议的,请联系管理员,我们会立即处理,本站部分文字与图片资源来自于网络,转载是出于传递更多信息之目的,若有来源标注错误或侵犯了您的合法权益,请立即通知我们(管理员邮箱:daokedao3713@qq.com),情况属实,我们会第一时间予以删除,并同时向您表示歉意,谢谢!
999+
13
1843
1922
1576
1961
1481
833
689
1540 本站内容仅供参考,不作为诊断及医疗依据,如有医疗需求,请务必前往正规医院就诊
祝由网所有文章及资料均为作者提供或网友推荐收集整理而来,仅供爱好者学习和研究使用,版权归原作者所有。
如本站内容有侵犯您的合法权益,请和我们取得联系,我们将立即改正或删除。
Copyright © 2022-2026 祝由师网 版权所有
邮箱:daokedao3713@qq.com