肺炎白肺是比较严重的病症之一,这种情况是代表肺部是有炎症的,这个时候抵抗力也会变低,如果造成呼吸困难的话可能会导致致死。那么,肺炎白肺的死亡率是多少呢?让我们来看看生活百科网带来的详细介绍吧!

白肺是肺炎里面最严重的病状之一。肺部产生炎症,就表明肺内已经有细菌或者是病毒造成感染现象,从而使肺局部产生炎症反应。而肺大泡是因为肺泡的张力逐渐变低,导致肺泡内的气体产生堆积,让肺泡的体积变大,厚度变薄从而产生的。如果肺大泡逐渐的变多,就可能会形成白肺。肺会导致肺部供氧量不足,造成呼吸困难等症状,严重会使人死亡,具有很大几率致命的危险。

通常,白肺是可以得到医治的,死亡率限制在50%左右。白肺一般是指的重症肺炎其在X光检查下的表现,肺部显影呈一大片的白色状而得名。形成白肺一般都预示着肺部有被炎症所侵润。大部分肺部疾病可以并发白肺的现象,采用保护性肺机械通气等措施,改善患者氧气供应,有利于病情的改善。

感染新冠病毒的患者出现白肺,一般是因为患者的肺泡内存在大量渗出物,会出现实变和纤维化,在影像学上的病理表现为肺部的实变、肺部的磨玻璃影、肺部的单片影等。
如果病情进展较迅速,会出现双肺病变的迅速加重,甚至可以出现肺实变,称为白肺。如果出现白肺,说明肺泡内已经存在大量的渗出物,患者对氧气的氧合能力低,病情会非常危重,预后较差。
白肺不仅可以见于新型冠状病毒肺炎,也可以见于其他的病菌感染。如严重的流感病毒感染导致的肺炎,可以出现白肺,甚至细菌性肺炎导致的急性呼吸窘迫综合征,也会出现白肺的情况。
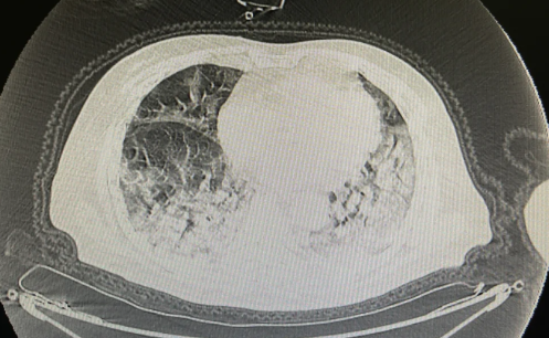
白肺是指在X线胸片检查或肺部CT检查中,肺间质组织出现大面积白色病变的表现
白肺的症状大多发生在重症肺炎中,因为肺间质组织被病毒、细菌或其他有害微生物持续感染后,炎症没有得到有效控制,肺组织被炎症进一步浸润和扩散,导致严重的肺部感染
对于白肺患者,除呼吸道炎症浸润外,部分患者还可能伴有呼吸衰竭等多器官衰竭
白肺一般是指重症肺炎在X光检查下的表现,肺部呈现一大片的白色状态而闻名
形成白肺一般都预示着肺部被炎症所广泛浸润,引起白肺的病因往往非常复杂,并且来势凶猛
临床上对于该病的病原学诊断困难,治疗该病关键在于寻找病因,并及时、有效的综合治疗
白肺最常见的病因是感染,其次是弥漫性肺泡出血综合征、急性呼吸窘迫综合征等
白肺的主要表现就是呼吸困难,还有呼吸衰竭,甚至还会有其他脏器功能的障碍
在治疗白肺时,药物治疗的同时气道管理、呼吸支持治疗、营养支持及护理治疗、心理治疗,心理疏导同样重要
白肺治疗是综合治疗的方法,也就是控制原发病、器官功能支持、积极控制感染以及治疗多器官功能衰竭,综合治疗
声明: 我们致力于保护作者版权,注重分享,被刊用文章因无法核实真实出处,未能及时与作者取得联系,或有版权异议的,请联系管理员,我们会立即处理,本站部分文字与图片资源来自于网络,转载是出于传递更多信息之目的,若有来源标注错误或侵犯了您的合法权益,请立即通知我们(管理员邮箱:daokedao3713@qq.com),情况属实,我们会第一时间予以删除,并同时向您表示歉意,谢谢!
本站内容仅供参考,不作为诊断及医疗依据,如有医疗需求,请务必前往正规医院就诊
祝由网所有文章及资料均为作者提供或网友推荐收集整理而来,仅供爱好者学习和研究使用,版权归原作者所有。
如本站内容有侵犯您的合法权益,请和我们取得联系,我们将立即改正或删除。
Copyright © 2022-2026 祝由师网 版权所有
邮箱:daokedao3713@qq.com